よしの内科クリニック

岐阜県 岐阜市 北一色2丁目7番15
診療時間:8:30-11:45/15:30-17:45
休診日:水曜午後、土曜午後、日曜、祝日

脂質異常症(コレステロール・中性脂肪)

〜「薬を飲むか、飲まないか」その基準は、あなたの「リスク」で決まります〜

健康診断や人間ドックの結果を見て、このページにたどり着いた方へ。
「悪玉(LDL)コレステロールが高い」「中性脂肪の数値が悪い」
そう書かれていても、痛みも痒みもないため、どうすればいいか迷われているのではないでしょうか。

「とりあえず食事や運動で様子を見たい」
「薬は一度飲んだらやめられないと聞くし、副作用が怖いから飲みたくない」
「でも、放置して血管が詰まるのは怖い…」

よしの内科クリニックに来院される方の多くが、このような葛藤や不安を抱えています。

私たちの診療方針は明確です。
当院は、「数値が高いからといって、すぐに薬を出す病院」でもなければ、逆に「患者さんの言いなりになって必要な治療を遅らせる病院」でもありません。

あなたの「動脈硬化のリスク(将来、血管が詰まる危険度)」を医学的に正しく評価し、
「薬を飲まないと危険なライン」と「まだ自力で頑張れるライン」を明確にお伝えする。
それが、内分泌代謝科・糖尿病の専門医としての私たちの責任だと考えています。

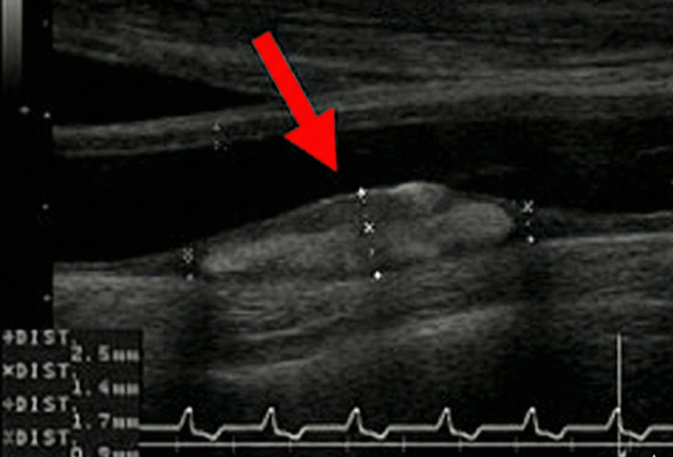
脂質異常症(頸動脈エコー像)

1.【重要】コレステロールが高い原因は「食べ過ぎ」だけではありません

脂質異常症と聞くと、「脂っこいものの食べ過ぎ」や「運動不足」など、ご自身の生活習慣のせいだと自分を責めてしまう方が多くいらっしゃいます。
しかし、実は「別の病気が隠れているせいで、コレステロール値が上がっている」ケースがあることをご存知でしょうか?

その代表的な原因が「甲状腺機能低下症(橋本病など)」です。
首の付け根にある甲状腺から出るホルモンが減ると、全身の代謝がガクッと落ち、食事に気をつけていてもコレステロールが分解されずに血液中に溜まってしまいます。

この場合、コレステロールを下げる薬(スタチンなど)を飲んでも根本的な解決にはなりません。甲状腺の治療を行うだけで、嘘のようにコレステロール値が正常に戻ることがあります。

当院の院長は、甲状腺疾患を専門とする「内分泌代謝専門医」です。
「ただコレステロールの薬を出す」のではなく、初回にしっかりと血液検査を行い、甲状腺機能低下症などの「隠れた原因」を見逃さないよう、必ず鑑別(チェック)を行います。
どうぞ安心してご相談ください。

脂質異常症(頸動脈エコー像)

2.「白黒つける」ための即日精密検査(頸動脈エコー)

「自分は今、薬が必要な状態なんだろうか?」
その答えは、血液検査の数値(紙の結果)を見ているだけでは分かりません。

当院では、首の血管を超音波で診る「頸動脈(けいどうみゃく)エコー」を行い、「実際にあなたの血管が詰まり始めているか」を目で見て確認します。

【即日検査が可能です】
当院では、この頸動脈エコー検査を即日(受診されたその日のうちに)行い、その場で結果をお伝えすることができます。
何日も結果を待つ不安はありません。
※首元にゼリーを塗って専用の機械を当てるだけの、痛みも放射線被曝もない安全な検査です。検査をスムーズに行うため、ご来院の際は「襟元(首元)の広く空いた服装」でお越しいただきますようお願いいたします。

判定A【血管がきれいな場合】
今のところ、血管の壁は厚くなっていません。
無理に薬物治療を始めず、まずは食事や運動など「生活習慣の改善」で様子を見る、という医学的な根拠になります。

判定B【プラーク(コブ)がある場合】
残念ながら、動脈硬化がすでに始まっています。
この場合、コレステロールの数値がそこまで高くなくても「治療開始の明確なサイン」となります。
将来の脳梗塞や心筋梗塞を確実に防ぐために、お薬の力を借りましょう。

3.当院の治療方針:「薬を始める基準」

 当院では、すべての患者さんに同じ治療をするのではなく、「他の病気があるかどうか(リスクの高さ)」によって、目指すべきゴール(目標値)を変えています。

ケース①:【リスクが高い方】は、厳しく管理します
糖尿病、高血圧、慢性腎臓病がある方

喫煙習慣がある方

ご家族に心筋梗塞や脳梗塞を起こされた方がいる方

このタイプの方は、すでに血管が傷つきやすい状態にあるため、「LDLコレステロール 120mg/dL未満」という厳しい目標を目指します。
もし数値が高い場合は、迷わず「お薬による治療」をお勧めします。
ここで「薬は飲みたくない」と粘ることは、将来の命に関わる危険な選択だからです。

ケース②:【リスクが低い方】は、ご希望を尊重します
他の病気がなく、タバコも吸わない方

このタイプの方は、すぐに血管が詰まるリスクは比較的低いです。
LDLコレステロールが 180mg/dL未満 であれば、まずは「食事療法・運動療法」で様子を見ることも可能です。
期間(例えば3ヶ月など)を決めて、一緒に頑張ってみましょう。

4.放置するとどうなる?(サイレントキラー)

脂質異常症は「サイレントキラー(静かなる殺し屋)」と呼ばれます。
血管を「庭に水を撒くホース」に例えると非常に分かりやすいです。

新しいホースは柔らかく弾力がありますが、汚れた水(悪玉コレステロールが過剰な血液)が流れ続けると、内側にヘドロのような汚れ(プラーク)がこびりつき、ホース全体が硬く、もろくなります。
これが「動脈硬化」です。

ある日突然、こびりついた汚れが剥がれて血流に乗り、細い血管に詰まると、その先の臓器が壊死してしまいます。
これが心臓で起きれば「心筋梗塞」、脳で起きれば「脳梗塞」です。
私たちが「必要であれば薬を飲んででも数値を下げましょう」と繰り返しお伝えするのは、この「ある日突然やってくる、取り返しのつかない事態」から患者さんをお守りしたいからです。

5.「食事で下げる」コツ(動画解説)

「薬を飲む前に、まずは食事の工夫で頑張ってみたい」
そんな前向きな方のために、「これだけ守れば数値が変わる」という実践的なポイントをYouTube動画にまとめました。

「卵は1日何個まで食べていいの?」

「お肉の脂身はどうすればいい?」
など、診察室でよく聞かれる疑問に、具体的な食材を挙げてお答えしています。

6.お薬についての考え方(副作用・デマ)

インターネット上の「コレステロールの薬は危険だ」「一度飲んだら一生やめられない」という極端な情報を目にして、不安に思われている方も多いでしょう。
専門医の立場から、正しい事実をお伝えします。

現在のお薬は非常に安全です
現在最もよく使われているお薬(スタチン系など)は、世界中で何億人もの命を救ってきた、歴史ある安全な薬です。

副作用のチェックも万全です
まれに筋肉痛(横紋筋融解症)や肝機能障害などの副作用が起きることがありますが、当院では定期的な血液検査で必ずチェックを行い、安全を第一に管理します。

「一生やめられない」は誤解です
食事や運動など生活習慣が根本から改善し、血管のエコー検査等で安定が確認できれば、お薬の量を減らしたり、休薬(お休み)することも十分に可能です。

「ネットでこう書いてあったけど、本当ですか?」と、診察室で遠慮なく聞いてください。
不安がなくなるまで、丁寧に納得のいくご説明をいたします。

Q1: 悪玉コレステロール(LDL)と中性脂肪の違いは何ですか?
A1: どちらも体に必要な脂質ですが、役割が違います。中性脂肪は「体を動かすエネルギー源(ガソリン)」ですが、多すぎると皮下脂肪や内臓脂肪になります。一方、悪玉コレステロールは「細胞を作る材料」ですが、増えすぎると血管の壁に入り込み、動脈硬化(コブ)の直接的な原因になります。
Q2: 痩せているのにコレステロールが高いのはなぜですか?
A2: 脂質異常症は肥満の方だけの病気ではありません。遺伝的な体質(家族性高コレステロール血症)や、女性ホルモンの低下(更年期以降の女性)、そして前述した「甲状腺機能低下症」などが原因で、痩せている方でも数値が高くなることは多々あります。
Q3: 肥満、糖尿病、高血圧、心筋梗塞、脳梗塞など、他の病気も一緒に診てもらえますか?
A3:もちろんです。むしろ、それらを「まとめて一緒に治療すること」こそが、当院の最大の強みです。
脂質異常症や糖尿病、高血圧、肥満などは、それぞれが独立しているのではなく、根本の原因で繋がっています。複数の病院にバラバラに通ってたくさんのお薬を飲む必要はありません。
内分泌代謝・糖尿病の専門医である私が「体全体」を総合的に診察し、お薬の重複や無駄を防ぎながら、あなたに一番負担の少ない治療法をご提案します。
どうぞ安心してお任せください。

よしの内科クリニック

診療科目
糖尿病内科・内分泌内科・内科

診察時間
8:30~11:45
15:30~17:45
よしの内科クリニックへのアクセス地図

交通(長森西小学校北200M)

バスでお越しの場合:東興町バス停から南へ徒歩3分
お車でお越しの場合: 岐阜競輪場東へ300M
JRでお越しの場合:長森駅から北へ1.9K

よしの内科クリニックへの来院

 岐阜市、各務原市、羽島市、羽島郡、山県市、可児市、関市、本巣市、瑞穂市、揖斐郡、大垣市、下呂市、恵那市、一宮市、犬山市、北名古屋市などに お住まいの方にご来院いただいております